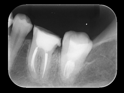
再根管治療後セラミッククラウンで治療した症例

Before

After

治療内容再根管治療 セラミッククラウン
治療期間・治療回数4回
治療費用148,500円(税込)
リスク・副作用
備考30代 女性

根管治療前のデンタルX線写真

根管治療後のデンタルX線写真

ページトップへ
TELWEB予約LINE追加