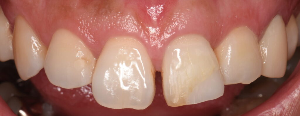
すきっ歯をダイレクトボンディングで修復

Before

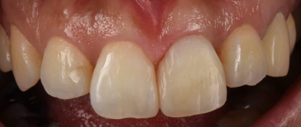
After
| 治療内容 | 前歯部 ダイレクトボンディング |
|---|---|
| 治療期間・治療回数 | 2回 |
| 治療費用 | 55,000円 |
| リスク・副作用 | 着色のリスク、過度な力による詰め物の破折、ホワイトニング後の後戻り |
| 備考 | 女性 30歳 |
主訴はすきっ歯が気になる。

左上1が失活歯のためウォーキングブリーチを行ったのちにダイレクトボンディング

術後2年

お子様からご高齢の方まで、幅広い年齢層で発生するのがむし歯です。その症状は進行度合いによって異なり、初期段階では自覚症状がない、あるいは軽微な刺激を感じる程度であることも少なくありません。しかし、進行が進むにつれて激しい痛みを伴うようになります。
さらに重症化すると、歯を維持することが困難となり、歯周組織や顎の骨にまで悪影響を及ぼすこともあります。

むし歯が始まる直前の段階です。まだ歯に明確な症状は見られませんが、表面が白濁したり、茶色く変色したりといった変化が現れます。
時間をかけたブラッシングに加え、歯科医院で施されるフッ素塗布やキシリトールの活用によって、歯の再石灰化を促進します。

細菌感染した箇所を必要最小限度で除去します。その上で、除去した部分に歯科用レジンを充填するのが一般的な治療の流れです。
むし歯に侵された部分を削り取り、詰め物をするなど、比較的負担の少ない処置を行います。ただし、むし歯の進行が広範囲に及んでおり、大きく削る必要があるケースなどでは、被せ物による修復を選択することがあります。

むし歯が進行し、歯の中心にある歯髄と呼ばれる神経組織にまで達した状態です。この段階では歯髄が炎症を起こし、強い痛みといった症状を伴います。
むし歯がこの段階まで進むと、侵された部分や歯髄を取り除き、根管内部を清潔な状態にするため消毒を繰り返した後、薬剤を充填する根管治療が検討されます。根管治療後には、歯の強度を高めるために支台を築き、その上から被せ物を装着します。

歯の大部分である歯冠の3/4以上が崩壊し、歯根のみが残存した状態です。ここまで進行すると、通常の治療での回復は困難となる場合が多く、抜歯という選択肢が検討されることもあります。

多くの患者様は、歯科治療に対して「痛そう」「怖い」といった先入観をお持ちかもしれません。
当院では、そうした従来の歯科医院が持たれがちなイメージをなくすため、可能な限り痛みを軽減し、不安を与えない治療を心がけております。これまで痛みが苦手で歯科受診をためらっていた方も、痛みを抑えた治療であれば安心して受けていただけます。歯科治療への不安が強い方は、どうぞ遠慮なくご相談ください。

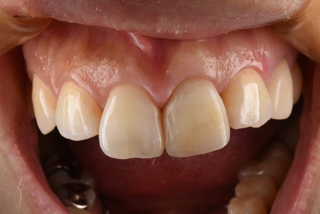
Before

After
| 治療内容 | 前歯部 ダイレクトボンディング |
|---|---|
| 治療期間・治療回数 | 2回 |
| 治療費用 | 55,000円 |
| リスク・副作用 | 着色のリスク、過度な力による詰め物の破折、ホワイトニング後の後戻り |
| 備考 | 女性 30歳 |
主訴はすきっ歯が気になる。

左上1が失活歯のためウォーキングブリーチを行ったのちにダイレクトボンディング

術後2年

日々の丁寧な歯磨きだけでは、どうしても磨ききれない部分が生じ、それがむし歯の再発を招くことがあります。
定期的な歯科検診で口腔内の状態を確認してもらい、専門的なクリーニングで落としきれなかった汚れを除去してもらうことが重要です。