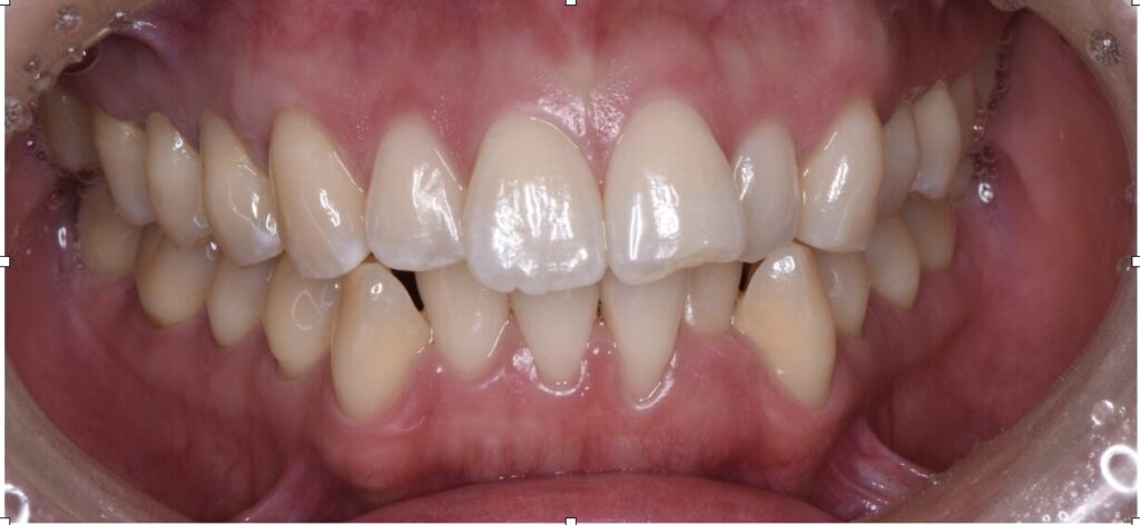
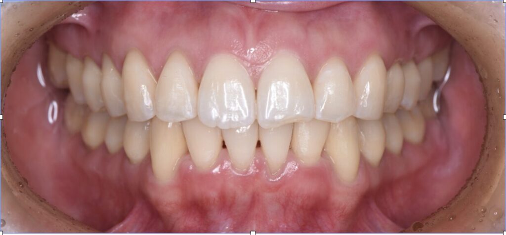
インビザライン矯正

Before

After
| 治療内容 | マウスピース矯正(インビザライン) |
|---|---|
| 治療期間・治療回数 | 約1年 |
| 治療費用 | 44万円(税込)費用はケースによって異なります |
| リスク・副作用 | 治療方法や費用、治療期間などは、ケースによって異なります。患者さまに合わせた治療計画をカウンセリング時にご提案いたしますので、治療例は参考程度にご覧ください。 |
| 備考 | 30代 女性 |
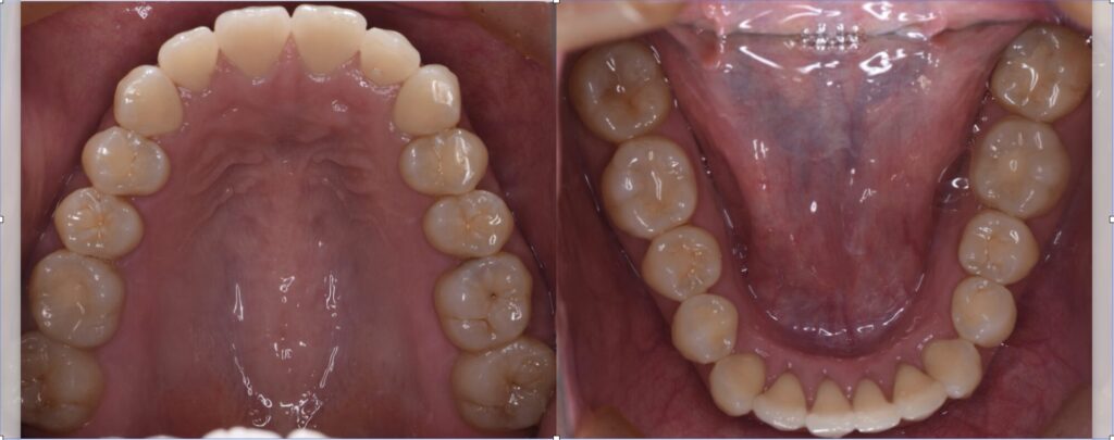
Before

After









不正咬合、つまり歯並びが悪い状態をそのままにしておくと、様々な問題が生じる可能性があります。矯正治療を検討される方の多くは、見た目の改善を主な目的としていますが、矯正治療は審美的な改善に加えて、健康的に機能する歯並びへと整えることが最も重要な目的です。
歯が重なり合って生えていたり、複雑な位置関係にあると、歯ブラシが口腔内の隅々まで届きにくくなります。その結果、お口の中を清潔に保つことが難しくなり、虫歯や歯周病のリスクが高まります。
不正咬合の場合、しっかり噛み合っていない歯が多く存在します。抜歯をして歯並びを整えることに抵抗を感じる患者様もいらっしゃいますが、実際には治療によってきちんと噛める歯が増えることがほとんどです。
また、噛んでいる歯が少ないと、特定の歯に過度な負担がかかり、異常な摩耗を引き起こすことがあります。極端な場合には、歯が割れてしまうこともあります。

マウスピース矯正は、従来のワイヤーやブラケットを使用せず、透明なマウスピース型の装置を用いて歯並びを整える新しい矯正治療です。治療中も装置が目立ちにくいため、周囲の人に気づかれにくいという特長があります。
人前に出る機会が多い職業の方や、会話をする機会が多い方でも、他人に気づかれることなく歯列矯正を進められるマウスピース矯正は、社会人の方やご年配の方にとっても負担が少ない矯正方法と言えるでしょう。

マルチブラケットは、一般的な矯正治療であるワイヤー矯正の名称です。それぞれの歯に専用の接着剤でブラケットを装着し、その溝にワイヤーを通して、歯を少しずつ牽引しながら目的の位置へ移動させます。個々の歯にブラケットを取り付けるため、患者さん一人ひとりの状態に合わせた細やかな治療を行える点が、マルチブラケットの大きな利点です。

ワイヤー矯正は、長い歴史を持つ伝統的な矯正治療法であり、豊富な実績と幅広い症例への対応力が魅力です。確実な矯正力を歯に加えることができ、同様の歯並びを治療する場合、マウスピース矯正よりも治療期間が短くなる傾向があります。
一方、マウスピース矯正は、矯正装置が目立ちにくいことや、ワイヤー矯正と比較して痛みが少ない点が特徴と言えるでしょう。
ワイヤー矯正とマウスピース矯正のどちらが適しているかは、患者様の歯並びの状態やライフスタイルによって異なります。それぞれの矯正治療がどのような方におすすめなのか、その特徴をご紹介しますので、矯正治療をご検討中の方はぜひ参考にしてみてください。
ワイヤー矯正は、ご自身で矯正装置を取り外すことができません。常に歯に矯正力がかかるため、できるだけ早く確実に歯並びを整えたい方に向いています。基本的に様々な症例に対応できるため、複雑な歯の乱れがある方にも適していると言えるでしょう。
歯並びの乱れが比較的軽度から中程度の方には、マウスピース矯正が効率的な治療法となるでしょう。食事の際にはマウスピースを取り外せるため、食事制限を受けたくない方にも適しています。また、マウスピース矯正で使用する装置は金属を含まないため、金属アレルギーをお持ちの方も安心して治療を受けられます。

矯正治療に用いるマウスピースは透明で目立ちにくいため、装着していることがほとんど気づかれません。そのため、仕事柄人前に立つ機会が多い方や、見た目を重視される方に選ばれています。

ワイヤー矯正では、歯の表面に取り付けたワイヤーやブラケットが口腔内の粘膜に接触し、痛みを感じることがあります。
これに対し、マウスピース矯正で使用するマウスピースは薄く滑らかな素材でできているため、口の中の粘膜を傷つけるリスクが低いと考えられます。さらに、マウスピースを装着して段階的に歯を移動させるため、痛みを感じにくいのが特徴です。

ワイヤー矯正では、歯に矯正装置が装着されているため、食べ物のカスが挟まりやすく、また歯磨きがしにくいため、虫歯や歯周病のリスクが高まる傾向があります。その点、マウスピース矯正は、装置を外して普段通りに歯磨きができるため、矯正治療中も口腔内を清潔に保つことが可能です。

ワイヤー矯正では、装置の破損や脱落を防ぐため、硬質な食品や粘着性の食品を控える必要があります。対照的に、マウスピース矯正では、食事の際にマウスピースを取り外せるため、治療期間中も普段と変わらず食事を満喫できます。この点において、マウスピース矯正は食事の制約がないという大きな利点を有しています。

マウスピース矯正に用いられる装置は、主にプラスチック素材で製造されています。金属を一切使用していないため、金属アレルギーをお持ちの方でも、安心して矯正治療に取り組むことが可能です。素材の特性上、生体親和性にも優れており、お口の中への負担も軽減されると考えられます。

マウスピース矯正は、ご自身でマウスピースの着脱と交換を行うことで治療が進むため、月ごとの調整が必要となるワイヤー矯正と比較して、通院回数を抑えられます。そのため、仕事などで時間が取りにくい方や、頻繁な通院が難しい方にとって、大きな利点と言えるでしょう。生活スタイルに合わせて治療を進めやすいのが特徴です。

当院では、歯並びや噛み合わせのお悩みに専門的な知識と豊富な経験を持つ矯正歯科医が、患者様一人ひとりに合わせたオーダーメイドの治療をご提供しております。精密な検査に基づいた詳細な治療計画をご提案することで、患者様の理想とする美しい歯並びと機能的な噛み合わせの実現をサポートいたします。
従来のワイヤー矯正に加え、目立ちにくいマウスピース矯正や、部分矯正など、多様な治療法に対応しており、患者様のご希望やライフスタイルに合わせて最適な治療法をご選択いただけます。
矯正治療を通じて、見た目の改善だけでなく、咀嚼機能の向上や虫歯・歯周病の予防にも繋げていくことを目指しています。
歯並びに関するお悩みは、どうぞ安心して当院の矯正歯科医にご相談ください。初診相談は無料にて承っております。

Before

After
| 治療内容 | マウスピース矯正(インビザライン) |
|---|---|
| 治療期間・治療回数 | 約1年 |
| 治療費用 | 44万円(税込)費用はケースによって異なります |
| リスク・副作用 | 治療方法や費用、治療期間などは、ケースによって異なります。患者さまに合わせた治療計画をカウンセリング時にご提案いたしますので、治療例は参考程度にご覧ください。 |
| 備考 | 30代 女性 |
Before

After

| 費用 | お問い合わせください |
|---|---|
| 治療回数 | 12~24回程度 |
| 治療期間 | 約1年~2年 |