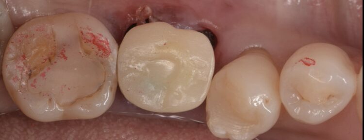
奥歯破折により抜歯即時埋入でインプラント治療した症例

Before

After
| 治療内容 | インプラント治療 |
|---|---|
| 治療期間・治療回数 | 2ヶ月半(来院回数は6回) |
| 治療費用 | 572,000円(税込) |
| リスク・副作用 | 外科処置が伴う |
| 備考 | 治療方法や費用、治療期間などは、ケースによって異なります。患者さまに合わせた治療計画をカウンセリング時にご提案いたしますので、治療例は参考程度にご覧ください。 |
インプラント埋入後は、仮歯のSETまで行うことでQOLの低下の予防になります。

8週後に型取りを行い、10週目でセラミックのSETで治療は終了です。












