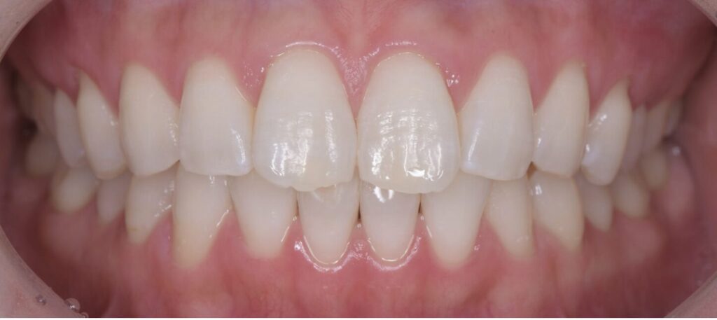
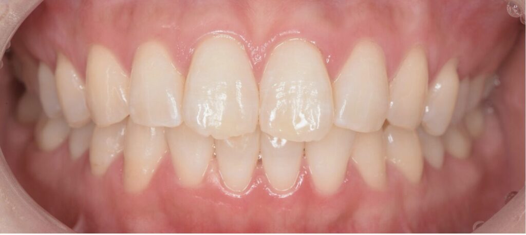
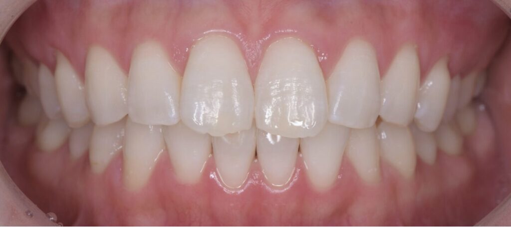
ホワイトニング症例

Before

After
| 治療内容 | ポリリン酸ホワイトニング |
|---|---|
| 治療期間・治療回数 | 3回 |
| 治療費用 | 33000(税込) |
| リスク・副作用 | ホワイトニング剤が歯の神経に刺激を与え、一時的に歯がしみることがあります。通常は数日で治まります。 ホワイトニング直後は、色素がつきやすい状態なので、カレーやコーヒーなどの色の濃いものを避け、喫煙を控える必要があります。 |
| 備考 | 20代 女性 |
初診

2回目

3回目



ホワイトニングは、年齢や食習慣などが原因で変色した歯を、漂白剤を用いて白くする方法です。特にコーヒーや喫煙を好む方は歯の変色が目立ちやすく、ホワイトニングを希望される方が増えています。
歯の表面の汚れを落とす「クリーニング」とは異なり、歯の内側から漂白するため、より高い効果が期待できます。歯を削る必要もなく、数回の施術で完了するため、手軽に受けられる人気の治療法です。
喫煙される方は、特に注意が必要です。タバコのヤニは非常に粘着性が高く、歯の黄ばみの主な原因となります。
年齢を重ねるにつれて、歯の表面を覆うエナメル質は徐々に薄くなり、内部の象牙質の黄みがかった色が目立ってくるようになります。そのため、一般的にご高齢の方ほど、歯が黄色く見える傾向があります。
カレー、チョコレート、コーヒー、ワインといった飲食物には、ポリフェノールが豊富に含まれています。このポリフェノールは、唾液中のタンパク質と結びつき、ステインという着色汚れとなって歯の表面に付着します。そのままにしておくと、ステインは落ちにくい汚れとなり、歯のくすみや黄ばみが目立つ原因となります。

ホワイトニングは、専用の薬剤で歯を漂白して白くするため、歯を削る必要はありません。大切な天然歯に負担をかけることなく、白く美しい歯を手に入れることができます。

歯は顔の印象を左右する大切な要素です。歯が黄ばんでいたり、汚れていたりすると、清潔感に影響を与えることがあります。特に、人前で話す機会が多い方や、就職活動を控えている方には、相手に良い印象を与えるためにもホワイトニングがおすすめです。

歯の黄ばみや着色汚れが気になって、人前で笑顔を見せることに抵抗があった方も、ホワイトニングによって自信を持って自然な笑顔を見せられるようになります。特にビジネスや社交の場においては、自信に満ちた笑顔は大きなアドバンテージとなるでしょう。

当院には、日本歯科審美学会が認定する「ホワイトニングコーディネーター」の資格を持つ歯科衛生士が在籍しております。ホワイトニングの施術はもちろんのこと、施術後のアフターフォローとして、歯の白さを保つための生活習慣に関する情報提供もさせていただきます。
ホワイトニングコーディネーターは、高度な専門知識と技術を持つ歯科衛生士にのみ与えられる資格です。当院では、確かな情報と知識に基づき、皆様に安心・安全なホワイトニング治療をご提供しております。
歯を白くすることにご興味をお持ちの方は、どんなことでもお気軽に当院のホワイトニングコーディネーターにご相談ください。

歯科医院で専門的に行うホワイトニングです。高濃度の薬剤と特殊な光を使用し、短時間で歯を白くします。1回の施術でも効果を実感しやすく、忙しい方やすぐに結果を求める方におすすめです。効果の持続性を高めるために、複数回の施術を行う場合もあります。
| 費用 | お問い合わせください |
|---|---|
| 治療回数 | 1回 |
| 効果持続期間 | 約3ヶ月~6ヶ月 |

自宅で手軽に始められるホワイトニングです。患者様専用のマウスピースを作製し、薬剤を注入して毎日一定時間装着します。ゆっくりと効果が現れるため、自然な白さを求める方に適しています。期間は個人差がありますが、2週間から1か月程度で効果を実感できます。自分のペースで進められることや、通院回数を抑えられるのもメリットです。
| 費用 | お問い合わせください |
|---|---|
| 治療回数 | 1回 |
| 効果持続期間 | 約3ヶ月~6ヶ月 |