インプラント / 審美歯科 / 歯を失った
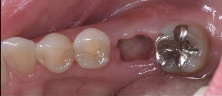
奥歯破折により抜歯後、インプラント治療した症例

Before

After
| 治療内容 | インプラント治療 |
|---|---|
| 治療期間・治療回数 | 2ヶ月半(来院回数は6回) |
| 治療費用 | 528,000円(税込) |
| リスク・副作用 | 外科処置が伴う |
| 備考 | 47歳 女性 |

抜歯後2週間後

インプラント埋入後

仮歯のSET後

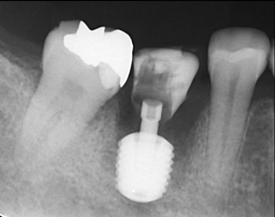
仮歯SET後のデンタルX線写真

仮歯の状態で8週間過ごしてもらいます。その後型取りを行いセラミックをSETしていきます。

セラミックSET後。