セラミック
セラミック / 審美歯科
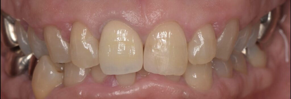
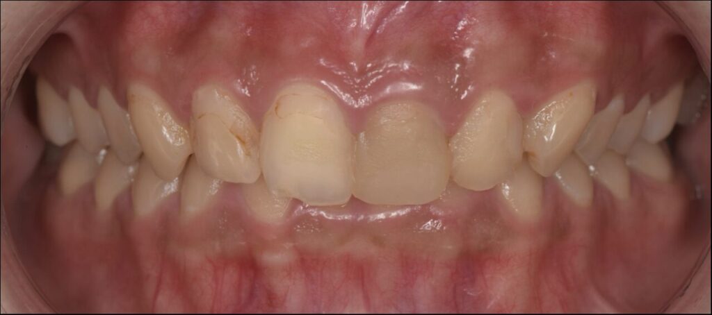
前歯のセラミッククラウンで治療した症例

Before

After
| 治療内容 | セラミッククラウン |
|---|---|
| 治療期間・治療回数 | 根管治療2回、セラミッククラウン2回 |
| 治療費用 | 170500円(税込) |
| リスク・副作用 | |
| 備考 | 治療方法や費用、治療期間などは、ケースによって異なります。患者さまに合わせた治療計画をカウンセリング時にご提案いたしますので、治療例は参考程度にご覧ください。 |
セラミック / 審美歯科
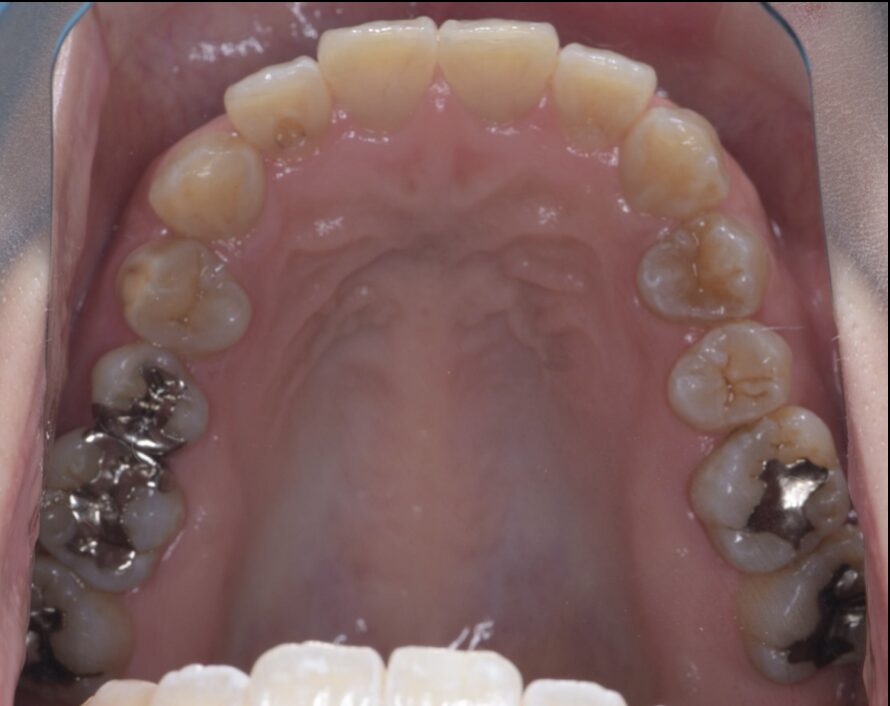
銀歯をセラミックインレー、樹脂での治療(メタルフリー)

Before

After
| 治療内容 | セラミックインレー |
|---|---|
| 治療期間・治療回数 | 2回 |
| 治療費用 | 143000円(税込) |
| リスク・副作用 | |
| 備考 | 30代 女性 |
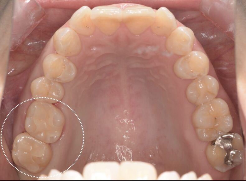
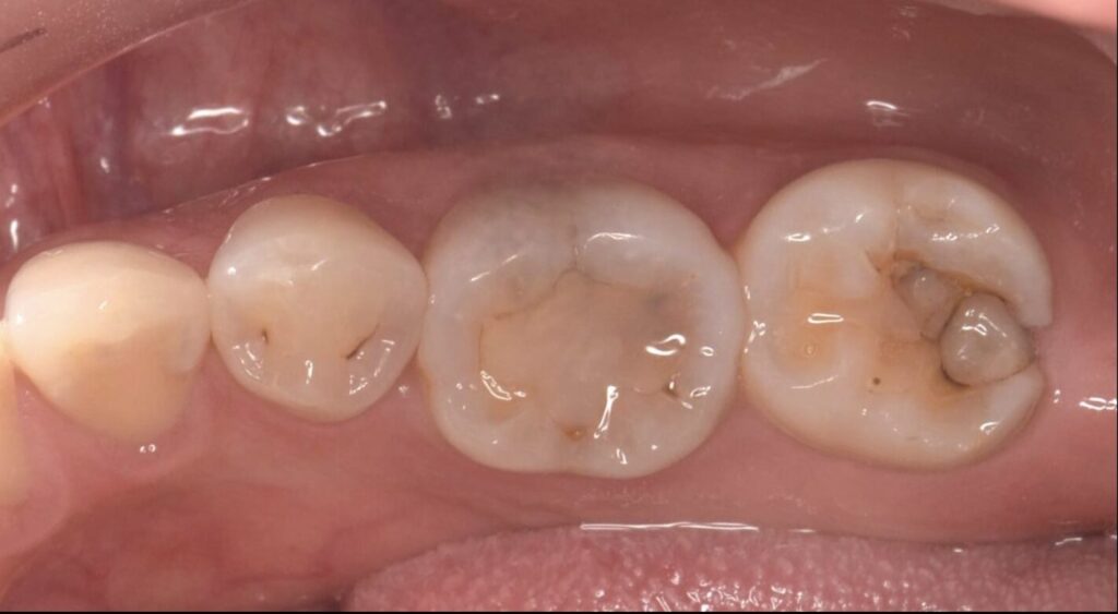
セラミック / 審美歯科
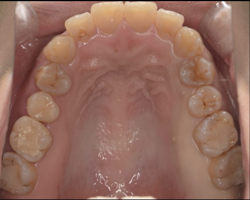
セラミックインレーにて治療した症例

Before

After
| 治療内容 | セラミックインレー(2本) |
|---|---|
| 治療期間・治療回数 | 2回 |
| 治療費用 | 143000円(税込) |
| リスク・副作用 | |
| 備考 | 40代 女性 |
セラミック / ホワイトニング / 審美歯科
再根管治療後セラミッククラウンで治療した症例(前歯)

Before

After
| 治療内容 | 再根管治療、セラミッククラウン、ホワイトニング |
|---|---|
| 治療期間・治療回数 | 再根管治療:3回 セラミッククラウン:2回 ホワイトニング:3回 |
| 治療費用 | セラミッククラウン:170500円(税込) ホワイトニング:36300円(税込) |
| リスク・副作用 | |
| 備考 | 20代 女性 |
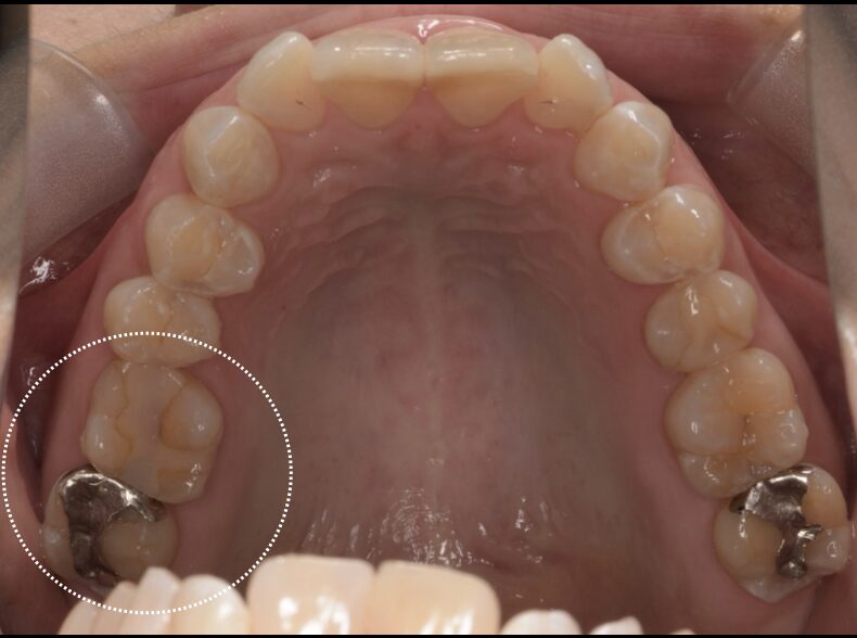
セラミック / 審美歯科
虫歯をセラミックインレー治療した症例

Before

After
| 治療内容 | セラミックインレー |
|---|---|
| 治療期間・治療回数 | 2回 |
| 治療費用 | 143000円(税込) |
| リスク・副作用 | |
| 備考 | 30代 男性 |