審美歯科
インプラント / セラミック / 審美歯科
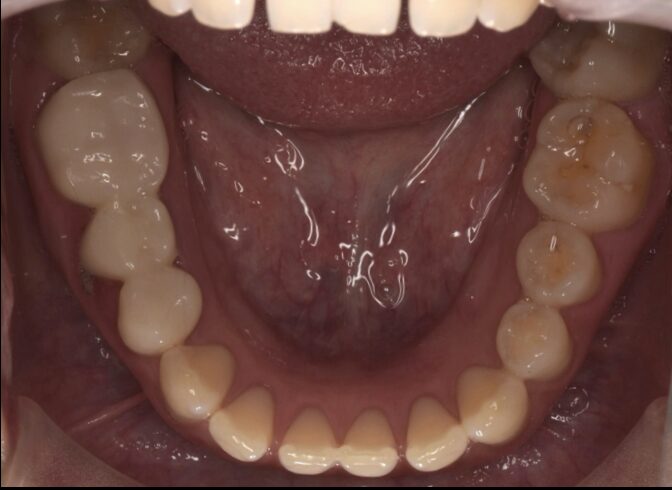
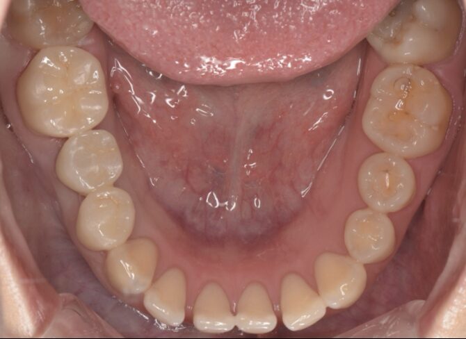
ポンティック下の残根を除去しインプラント治療した症例

Before

After
| 治療内容 | インプラント、セラミッククラウン |
|---|---|
| 治療期間・治療回数 | 2ヶ月半 |
| 治療費用 | 869000円(税込) |
| リスク・副作用 | 外科処置が伴う |
| 備考 | 治療方法や費用、治療期間などは、ケースによって異なります。患者さまに合わせた治療計画をカウンセリング時にご提案いたしますので、治療例は参考程度にご覧ください。 |
セラミック / 審美歯科
前歯のセラミッククラウンで治療した症例

Before

After
| 治療内容 | セラミッククラウン |
|---|---|
| 治療期間・治療回数 | 根管治療2回、セラミッククラウン2回 |
| 治療費用 | 170500円(税込) |
| リスク・副作用 | |
| 備考 | 治療方法や費用、治療期間などは、ケースによって異なります。患者さまに合わせた治療計画をカウンセリング時にご提案いたしますので、治療例は参考程度にご覧ください。 |
セラミック / 審美歯科
銀歯をセラミックインレー、樹脂での治療(メタルフリー)

Before

After
| 治療内容 | セラミックインレー |
|---|---|
| 治療期間・治療回数 | 2回 |
| 治療費用 | 143000円(税込) |
| リスク・副作用 | |
| 備考 | 30代 女性 |
セラミック / 審美歯科
セラミックインレーにて治療した症例

Before

After
| 治療内容 | セラミックインレー(2本) |
|---|---|
| 治療期間・治療回数 | 2回 |
| 治療費用 | 143000円(税込) |
| リスク・副作用 | |
| 備考 | 40代 女性 |
インプラント / 審美歯科 / 歯を失った
前歯が破折し、インプラント治療した症例

Before

After
| 治療内容 | インプラント治療 |
|---|---|
| 治療期間・治療回数 | 2ヶ月半 |
| 治療費用 | 594,000円(税込) |
| リスク・副作用 | 外科処置を伴います。 |
| 備考 | 治療方法や費用、治療期間などは、ケースによって異なります。患者さまに合わせた治療計画をカウンセリング時にご提案いたしますので、治療例は参考程度にご覧ください。 |