インプラント
インプラント / 審美歯科 / 歯を失った
奥歯破折により抜歯即時埋入でインプラント治療した症例(2)

Before

After
| 治療内容 | インプラント治療 |
|---|---|
| 治療期間・治療回数 | 2ヶ月半(来院回数は6回) |
| 治療費用 | 572,000円(税込) |
| リスク・副作用 | 外科処置が伴う |
| 備考 | 治療方法や費用、治療期間などは、ケースによって異なります。患者さまに合わせた治療計画をカウンセリング時にご提案いたしますので、治療例は参考程度にご覧ください。 |
インプラント / セラミック / 審美歯科 / 歯を失った
ポンティック下の残根を除去しインプラント治療した症例

Before

After
| 治療内容 | インプラント、セラミッククラウン |
|---|---|
| 治療期間・治療回数 | 2ヶ月半 |
| 治療費用 | 869000円(税込) |
| リスク・副作用 | 外科処置が伴う |
| 備考 | 治療方法や費用、治療期間などは、ケースによって異なります。患者さまに合わせた治療計画をカウンセリング時にご提案いたしますので、治療例は参考程度にご覧ください。 |
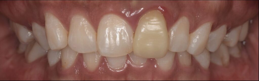
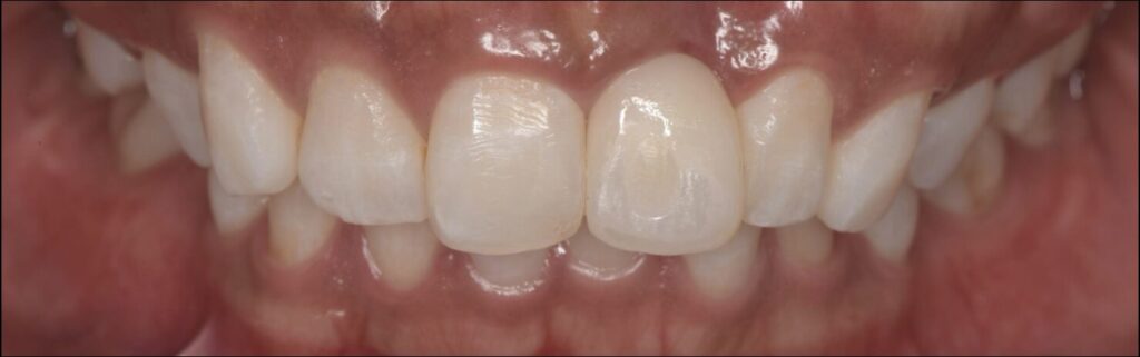
インプラント / 審美歯科 / 歯を失った
前歯が破折し、インプラント治療した症例

Before

After
| 治療内容 | インプラント治療 |
|---|---|
| 治療期間・治療回数 | 2ヶ月半 |
| 治療費用 | 594,000円(税込) |
| リスク・副作用 | 外科処置を伴います。 |
| 備考 | 治療方法や費用、治療期間などは、ケースによって異なります。患者さまに合わせた治療計画をカウンセリング時にご提案いたしますので、治療例は参考程度にご覧ください。 |
インプラント / 審美歯科 / 歯を失った
奥歯破折により抜歯即時埋入でインプラント治療した症例

Before

After
| 治療内容 | インプラント治療 |
|---|---|
| 治療期間・治療回数 | 2ヶ月半(来院回数は6回) |
| 治療費用 | 572,000円(税込) |
| リスク・副作用 | 外科処置が伴う |
| 備考 | 治療方法や費用、治療期間などは、ケースによって異なります。患者さまに合わせた治療計画をカウンセリング時にご提案いたしますので、治療例は参考程度にご覧ください。 |
インプラント / セラミック / 審美歯科
欠損した歯をインプラントで治療した症例

Before

After
| 治療内容 | インプラント治療 |
|---|---|
| 治療期間・治療回数 | 2ヶ月半 |
| 治療費用 | 528,000円(税込) |
| リスク・副作用 | 外科処置を伴います。 |
| 備考 | 治療方法や費用、治療期間などは、ケースによって異なります。患者さまに合わせた治療計画をカウンセリング時にご提案いたしますので、治療例は参考程度にご覧ください。 |