セラミック / 審美歯科
虫歯が大きく根管治療を行いセラミッククラウンで治療した症例

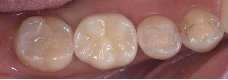
Before

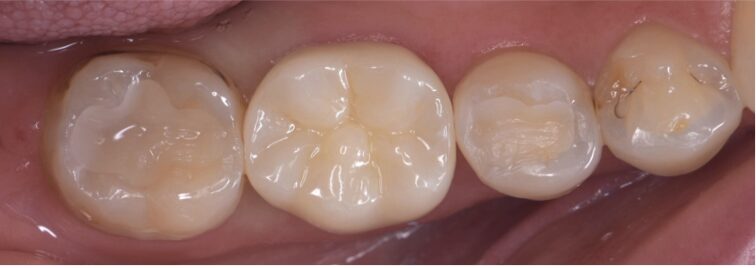
After
| 治療内容 | 根管治療 セラミッククラウン |
|---|---|
| 治療期間・治療回数 | 5回 |
| 治療費用 | 148500円(税込) |
| リスク・副作用 | |
| 備考 | 30代 男性 |
右下の6番が痛みがあり噛めないが主訴でした。
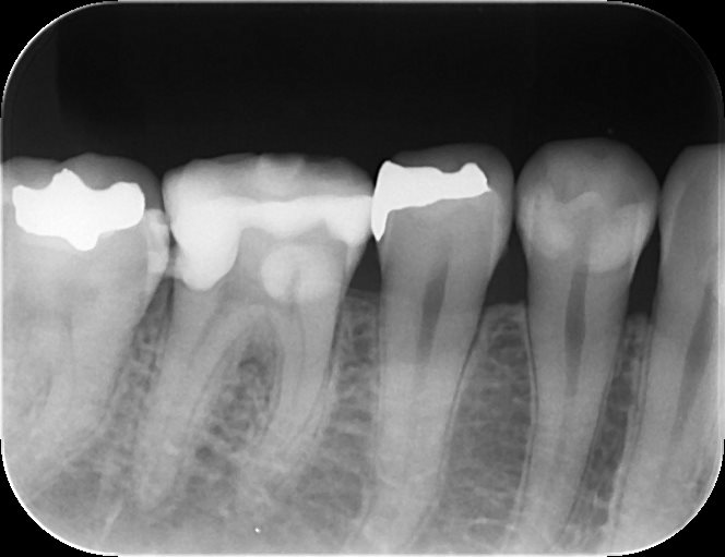
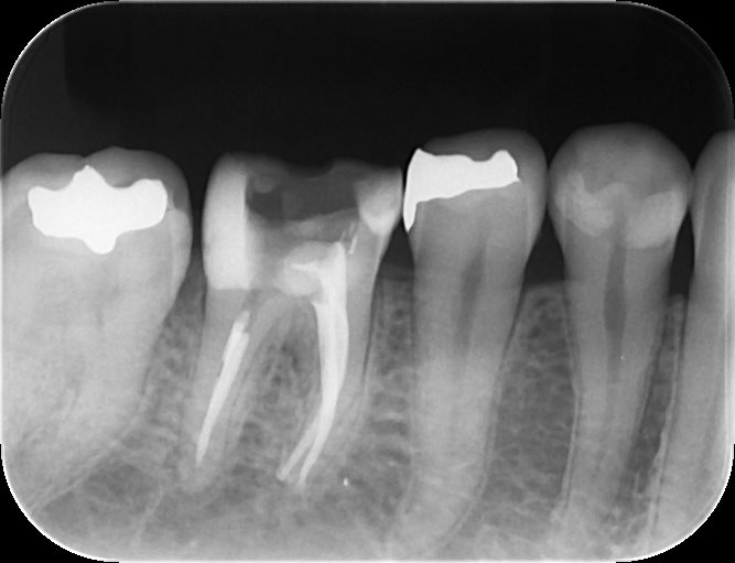
レントゲンを撮影し、状況を説明。

根管治療が必要なことを伝え、最終補綴物はセラミッククラウンで治療していくことになりました。
根管治療は必ずラバーダムを使用しております。
根管治療後のデンタルX戦写真


来院回数は、根管治療で3回、セラミック治療で2回で終了です。