セラミック / 審美歯科
虫歯が大きく根管治療を行いセラミッククラウンで治療した症例(2)

Before

After
| 治療内容 | 根管治療 セラミッククラウン |
|---|---|
| 治療期間・治療回数 | 4回 |
| 治療費用 | 148500円(税込) |
| リスク・副作用 | |
| 備考 | 30代 女性 |
右下の7番が痛みがあり噛めないが主訴でした。
レントゲンを撮影し、状況を説明。

根管治療は必ずラバーダムを使用しております。
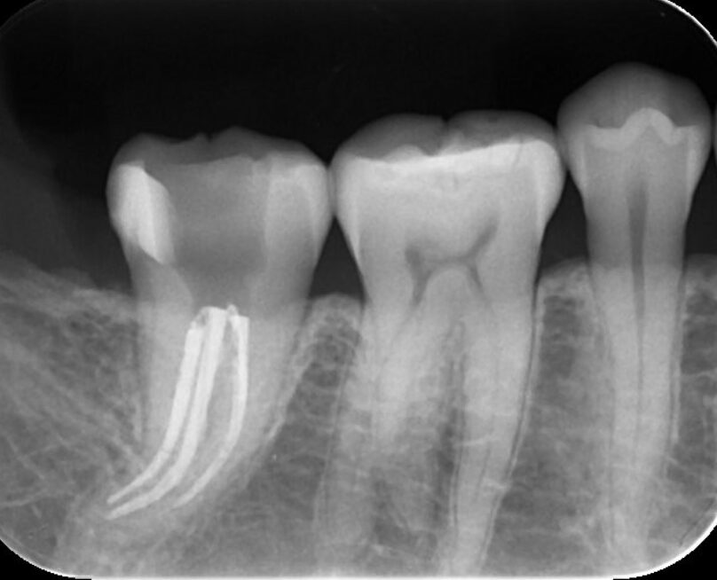
根管治療後のデンタルX戦写真

根管治療後はコアを築造し、形成後印象採得を行いました。

最終補綴物(セラミッククラウン)セット後

根管治療2回、セラミック治療で2回で終了です。