セラミック
セラミック / 審美歯科
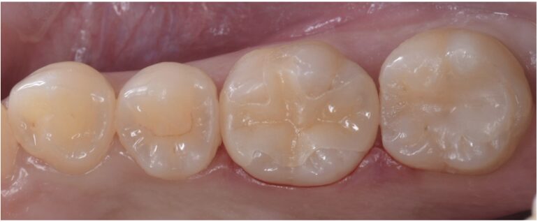
銀歯の虫歯治療(セラミックインレー)

Before

After
| 治療内容 | セラミックインレー |
|---|---|
| 治療期間・治療回数 | 2回 |
| 治療費用 | 71500円(税込) |
| リスク・副作用 | |
| 備考 | 30代 女性 |
セラミック / 審美歯科
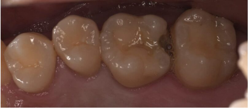
歯がかけてしまいセラミックインレー治療の症例

Before

After
| 治療内容 | セラミックインレー |
|---|---|
| 治療期間・治療回数 | 2回 |
| 治療費用 | 71500円(税込) |
| リスク・副作用 | |
| 備考 | 30代 男性 |
セラミック / 審美歯科
虫歯が大きく根管治療を行いセラミッククラウンで治療した症例

Before

After
| 治療内容 | 根管治療 セラミッククラウン |
|---|---|
| 治療期間・治療回数 | 5回 |
| 治療費用 | 148500円(税込) |
| リスク・副作用 | |
| 備考 | 30代 男性 |
セラミック / 審美歯科
被せ物が割れてセラミックに変更症例

Before

After
| 治療内容 | セラミッククラウン |
|---|---|
| 治療期間・治療回数 | 2回 |
| 治療費用 | 148500円(税込) |
| リスク・副作用 | |
| 備考 | 30代 女性 |
セラミック / 審美歯科
虫歯治療(セラミックインレー)

Before

After
| 治療内容 | セラミックインレー |
|---|---|
| 治療期間・治療回数 | 2回 |
| 治療費用 | 71500円(税込) |
| リスク・副作用 | |
| 備考 | 女性 32歳 |