ホワイトニング / 審美歯科
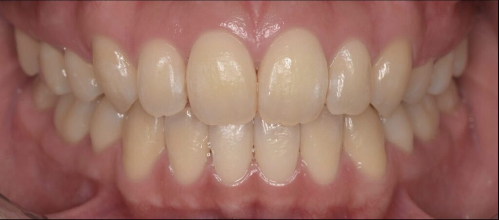
ホワイトニング症例(2)

Before

After
| 治療内容 | ポリリン酸ホワイトニング |
|---|---|
| 治療期間・治療回数 | 3回 |
| 治療費用 | 36300円(税込) |
| リスク・副作用 | ホワイトニング剤が歯の神経に刺激を与え、一時的に歯がしみることがあります。通常は数日で治まります。 |
| 備考 | 20代 女性 |
ポリリン酸ホワイトニングの特徴・メリット
- 低刺激・痛みがない: 従来の薬剤に比べ、知覚過敏が起きにくく、痛みを感じにくい。
- 食事制限がない: コーティング効果により、コーヒー、紅茶、カレーなどを施術直後に飲食しても汚れが付きにくい。
- 透明感のある自然な白さ: 汚れを除去するだけでなく、歯の表面を保護・強化する。
- 短時間で完了: 1回あたり約1時間〜2時間の施術で効果を実感しやすい。
デメリット・注意点
- 強い白さには不向き: 歯科医院で行う「過酸化水素」のみのホワイトニングに比べ、漂白力(歯そのものを白くする力)は弱く、劇的に白くしたい人には不向きな場合がある。
施術の流れ
- 歯の汚れやステインを落とす
- ポリリン酸(+過酸化水素)のジェルを塗布
- 光を照射して汚れを分解・コーティング
- 特にコーヒーやタバコによる着色汚れが気になる方、ホワイトニングの痛みが不安な方におすすめの技術です。
