インプラント / 審美歯科 / 歯を失った
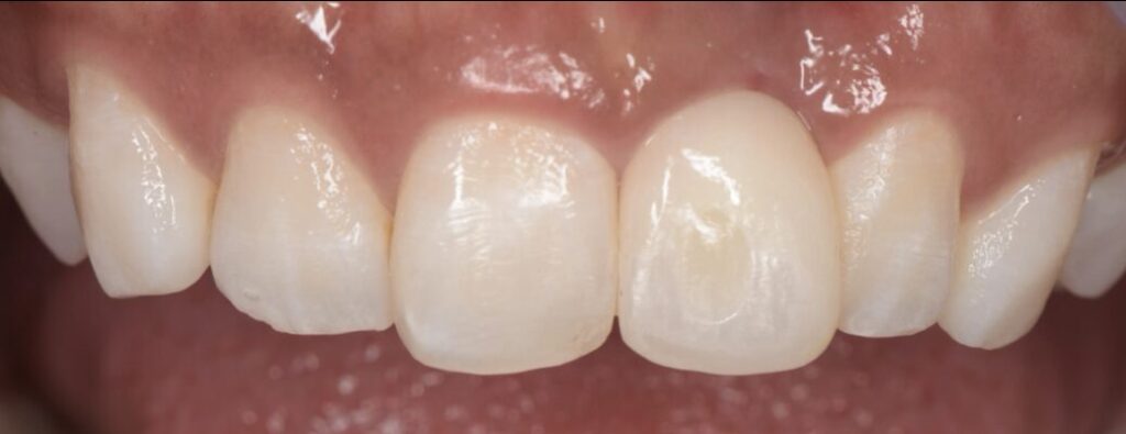
前歯が破折し、インプラント治療した症例
Before
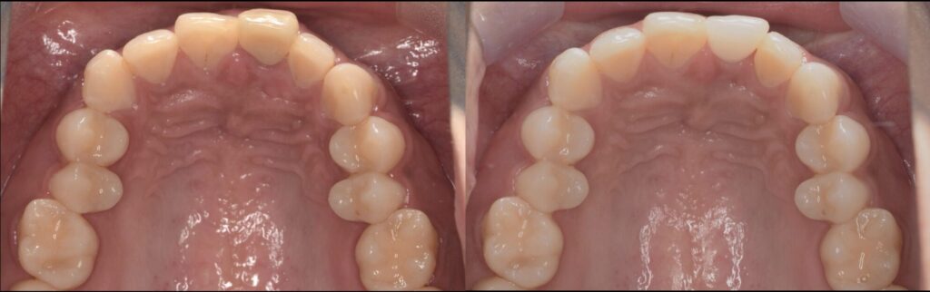
After
| 治療内容 | インプラント治療 |
|---|
| 治療期間・治療回数 | 2ヶ月半 |
|---|
| 治療費用 | 594,000円(税込) |
|---|
| リスク・副作用 | 外科処置を伴います。 |
|---|
| 備考 | 治療方法や費用、治療期間などは、ケースによって異なります。患者さまに合わせた治療計画をカウンセリング時にご提案いたしますので、治療例は参考程度にご覧ください。 |
|---|
初診時の口腔内写真とデンタルX線写真
インプラントSET後の口腔内写真とデンタルX線写真
インプラント埋入から2ヶ月半にて終了。