セラミック / 審美歯科
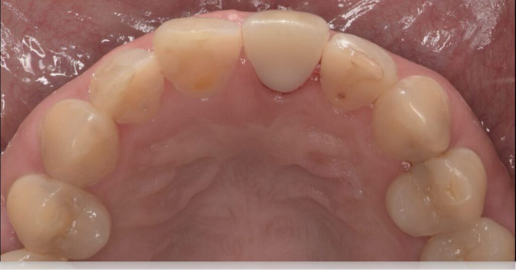
前歯をセラミッククラウンで治療した症例(2)

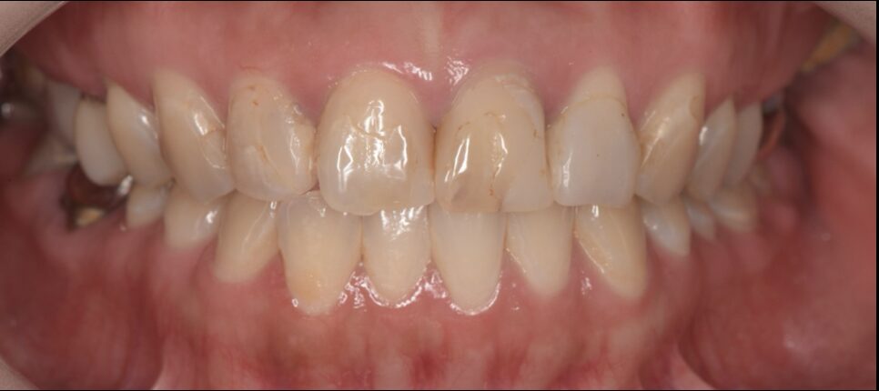
Before

After
| 治療内容 | 再根管治療、セラミッククラウン |
|---|---|
| 治療期間・治療回数 | 根管治療2回、セラミッククラウン2回 |
| 治療費用 | 170500円(税込) |
| リスク・副作用 | |
| 備考 | 治療方法や費用、治療期間などは、ケースによって異なります。患者さまに合わせた治療計画をカウンセリング時にご提案いたしますので、治療例は参考程度にご覧ください。 |
初診時


デンタルX線写真

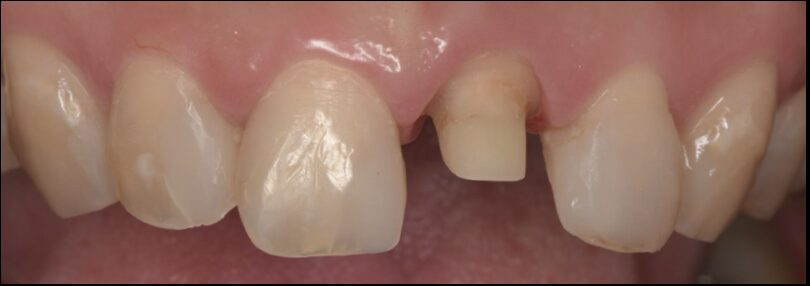
形成後

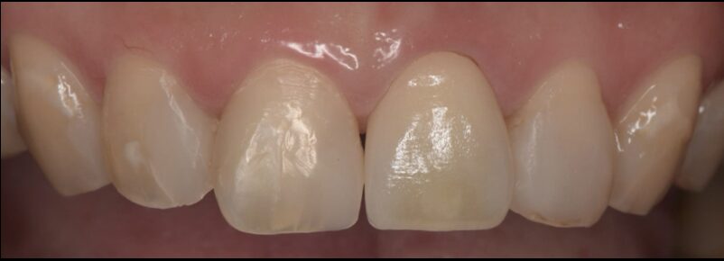
セラミックSET後


デンタルX線写真(治療後)
