077-518-8214
24時間受付
WEB予約
LINEで気軽に
LINE追加
Menu
HOME
初めての方へ
医院案内・アクセス
院長・スタッフ紹介
採用情報
当クリニックが選ばれる理由
ブログ
症例紹介
お知らせ
診療案内
むし歯
審美歯科(セラミック)
インプラントをお考えの方へ
根管治療
ホワイトニング
口腔外科
歯周病
矯正歯科
入れ歯
予防歯科・メンテナンス
インプラント
歯ぎしり・食いしばり
小児歯科
初めての方へ
院長・スタッフ紹介
当院が選ばれる理由
診療案内
むし歯
根管治療
歯周病
予防歯科・メンテナンス
小児歯科・マタニティ歯科
審美歯科(セラミック)
ホワイトニング
矯正歯科
当院のインプラント治療
インプラントをお考えの方へ
口腔外科
入れ歯
歯ぎしり・食いしばり
症例紹介
医院案内・アクセス
採用情報
お知らせ
ブログ
プライバシーポリシー
HOME
症例紹介
セラミック
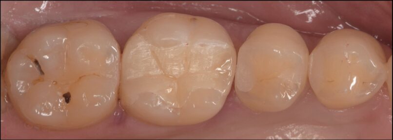
虫歯をセラミックインレー治療した症例
2026.03.17
セラミック / 審美歯科
虫歯をセラミックインレー治療した症例
Before
After
治療内容
セラミックインレー
治療期間・治療回数
2回
治療費用
143000円(税込)
リスク・副作用
備考
30代 男性
左下6番
右下6番
ALL
TEL
WEB予約
LINE追加
MENU