インプラント
インプラント / 審美歯科 / 歯を失った
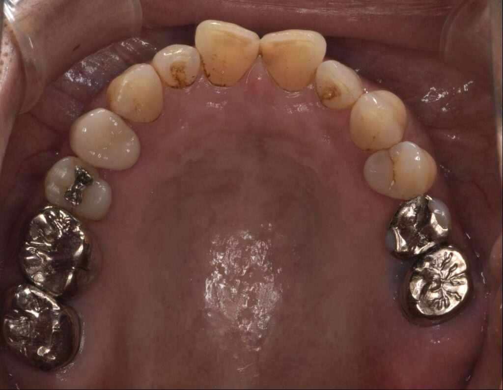
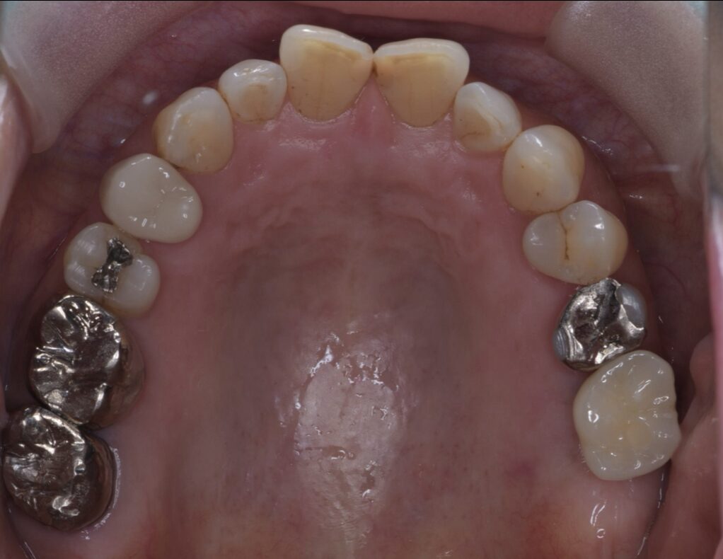
入れ歯が合わなくインプラント治療した症例

Before

After
| 治療内容 | インプラント治療 |
|---|---|
| 治療期間・治療回数 | 2ヶ月半 |
| 治療費用 | 528,000円(税込) |
| リスク・副作用 | 外科処置を伴います |
| 備考 | 治療方法や費用、治療期間などは、ケースによって異なります。患者さまに合わせた治療計画をカウンセリング時にご提案いたしますので、治療例は参考程度にご覧ください。 |
インプラント / 審美歯科 / 歯を失った
歯根破折で早期埋入をおこなった症例

Before

After
| 治療内容 | インプラント治療 |
|---|---|
| 治療期間・治療回数 | 2ヶ月半(来院回数は4回) |
| 治療費用 | 528,000円(税込) |
| リスク・副作用 | 外科処置が伴う |
| 備考 | 60代 女性 |
インプラント / 審美歯科 / 歯を失った
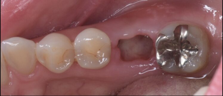
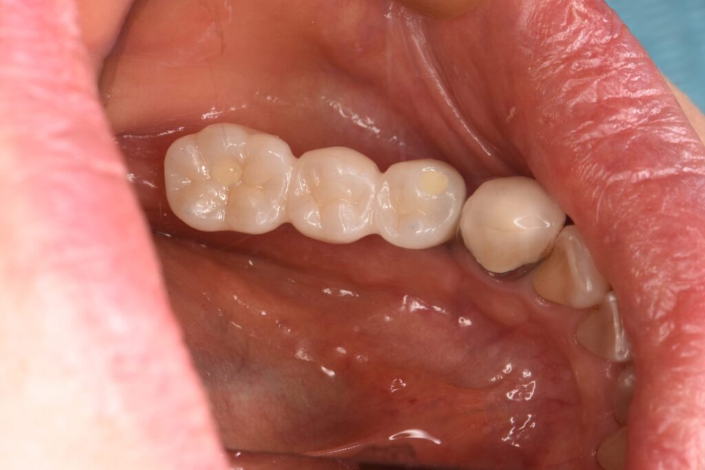
奥歯破折により抜歯後、インプラント治療した症例

Before

After
| 治療内容 | インプラント治療 |
|---|---|
| 治療期間・治療回数 | 2ヶ月半(来院回数は6回) |
| 治療費用 | 528,000円(税込) |
| リスク・副作用 | 外科処置が伴う |
| 備考 | 47歳 女性 |
インプラント / 審美歯科 / 歯を失った
虫歯で抜歯となりインプラント治療した症例

Before

After
| 治療内容 | 抜歯即時埋入インプラント |
|---|---|
| 治療期間・治療回数 | 2ヶ月半 6回 |
| 治療費用 | 572000円(税込) |
| リスク・副作用 | 外科処置が伴う |
| 備考 | 男性 30歳 |
インプラント
入れ歯に違和感を感じインプラントを行った症例

Before

After
| 治療内容 | 入れ歯が合わなくなりインプラントを希望された |
|---|---|
| 治療期間・治療回数 | 2ヶ月半 5回 |
| 治療費用 | 1,177,000円 |
| リスク・副作用 | 治療方法や費用、治療期間などは、ケースによって異なります。患者さまに合わせた治療計画をカウンセリング時にご提案いたしますので、治療例は参考程度にご覧ください。 |
| 備考 | 70歳 女性 |