インプラント
インプラント / 審美歯科 / 歯を失った
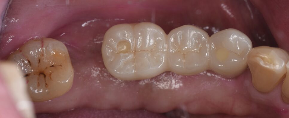
奥歯破折により抜歯後、インプラント治療した症例

Before

After
| 治療内容 | インプラント治療 |
|---|---|
| 治療期間・治療回数 | 2ヶ月半(来院回数は6回) |
| 治療費用 | 528,000円(税込) |
| リスク・副作用 | 外科処置が伴う |
| 備考 | 47歳 女性 |
インプラント / 審美歯科 / 歯を失った
虫歯で抜歯となりインプラント治療した症例

Before

After
| 治療内容 | 抜歯即時埋入インプラント |
|---|---|
| 治療期間・治療回数 | 2ヶ月半 6回 |
| 治療費用 | 572000円(税込) |
| リスク・副作用 | 外科処置が伴う |
| 備考 | 男性 30歳 |
インプラント
入れ歯に違和感を感じインプラントを行った症例

Before

After
| 治療内容 | 入れ歯が合わなくなりインプラントを希望された |
|---|---|
| 治療期間・治療回数 | 2ヶ月半 5回 |
| 治療費用 | 1,177,000円 |
| リスク・副作用 | 治療方法や費用、治療期間などは、ケースによって異なります。患者さまに合わせた治療計画をカウンセリング時にご提案いたしますので、治療例は参考程度にご覧ください。 |
| 備考 | 70歳 女性 |
インプラント / 歯を失った
破折してしまった歯のインプラント症例

Before

After
| 治療内容 | 昔、他院で治療された歯が破折していた |
|---|---|
| 治療期間・治療回数 | 2ヶ月半 5回 |
| 治療費用 | 1,177,000円 |
| リスク・副作用 | 治療方法や費用、治療期間などは、ケースによって異なります。患者さまに合わせた治療計画をカウンセリング時にご提案いたしますので、治療例は参考程度にご覧ください。 |
| 備考 | 60歳 男性 |
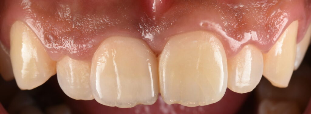
インプラント / 歯を失った
前歯破折で保存不可によりインプラント治療

Before

After
| 治療内容 | 前歯部 抜歯即時埋入インプラント |
|---|---|
| 治療期間・治療回数 | 2ヶ月半 6回 |
| 治療費用 | 594000円 |
| リスク・副作用 | 外科処置が伴う |
| 備考 | 男性 30歳 |