インプラント / 歯を失った
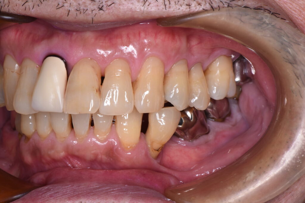
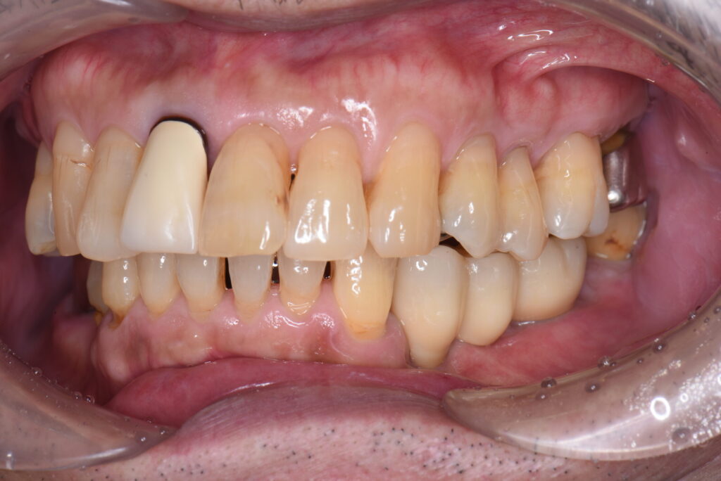
破折してしまった歯のインプラント症例
Before
After
| 治療内容 | 昔、他院で治療された歯が破折していた |
|---|
| 治療期間・治療回数 | 2ヶ月半 5回 |
|---|
| 治療費用 | 1,177,000円 |
|---|
| リスク・副作用 | 治療方法や費用、治療期間などは、ケースによって異なります。患者さまに合わせた治療計画をカウンセリング時にご提案いたしますので、治療例は参考程度にご覧ください。 |
|---|
| 備考 | 60歳 男性 |
|---|
治療期間中も仮歯を入れることでQOLの低下の防止になります。
Before
After
2ヶ月半にて治療終了。