セラミック / 審美歯科
前歯の審美歯科(セラミック)症例

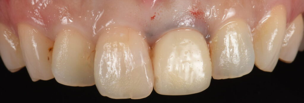
Before

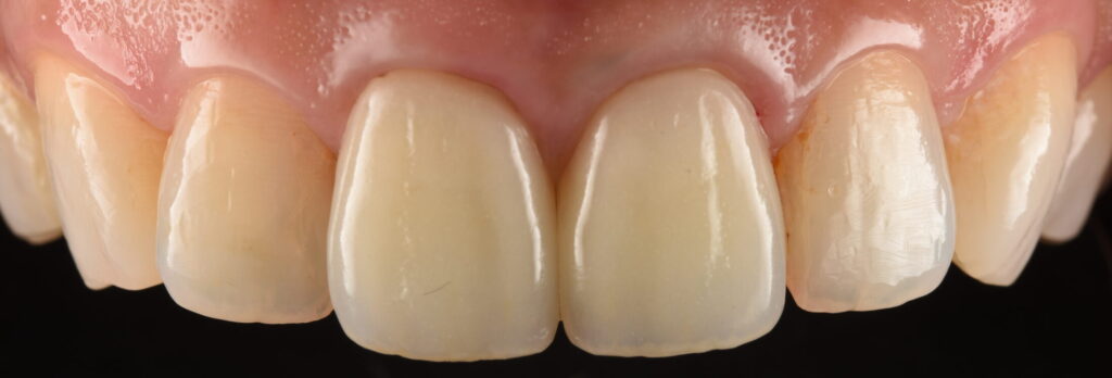
After
| 治療内容 | 前歯2本をキレイにしたくて来院された患者さま |
|---|---|
| 治療期間・治療回数 | 2ヶ月 5回 |
| 治療費用 | 34万1千円(税込) |
| リスク・副作用 | 治療方法や費用、治療期間などは、ケースによって異なります。患者さまに合わせた治療計画をカウンセリング時にご提案いたしますので、治療例は参考程度にご覧ください。 |
| 備考 | 35歳 女性 |
オールセラミックスで治療終了。

Before

After
| 治療内容 | 前歯2本をキレイにしたくて来院された患者さま |
|---|---|
| 治療期間・治療回数 | 2ヶ月 5回 |
| 治療費用 | 34万1千円(税込) |
| リスク・副作用 | 治療方法や費用、治療期間などは、ケースによって異なります。患者さまに合わせた治療計画をカウンセリング時にご提案いたしますので、治療例は参考程度にご覧ください。 |
| 備考 | 35歳 女性 |
オールセラミックスで治療終了。